Header

Suche
Regenerative Medizin

Stammzellen reparieren Mäusehirn nach Schlaganfall

Die Transplantation von Stammzellen kann Schlaganfall-Schäden rückgängig machen, wie Forschende der Universität Zürich berichten. Zu den positiven Effekten gehört die Wiederherstellung von Nervenzellen und motorischen Funktionen. Dies ist ein Meilenstein für die Therapie von Hirnerkrankungen.
Hirnschnitt
Das Bild zeigt einen koronalen Schnitt durch das Gehirn einer Maus nach einem Schlaganfall und der Transplantation neuronaler Stammzellen. Die gestrichelte Linie markiert den Bereich des Schlaganfalls. Die Axone der transplantierten Zellen sind dunkelbraun gefärbt. Sie erstrecken sich lokal in den Kortex (CX), aber auch über den Balken (Corpus callosum, CC) in die gegenüberliegende Gehirnhälfte. (Bild: UZH)

Einer von vier Erwachsenen erleidet im Laufe seines Lebens einen Schlaganfall, etwa die Hälfte trägt bleibende Schäden wie Lähmungen oder Sprachstörungen davon. Denn durch Einblutungen oder mangelnde Sauerstoffversorgung sterben Hirnzellen unwiederbringlich ab. Zurzeit existiert keine Behandlung, um solche Schäden zu reparieren. «Daher ist es essenziell, neue therapeutische Ansätze für eine mögliche Hirnregeneration nach Krankheit oder Unfall zu verfolgen», sagt Christian Tackenberg, wissenschaftlicher Abteilungsleiter in der Gruppe Neurodegeneration am Institut für Regenerative Medizin der Universität Zürich (UZH).

Das Potenzial dazu haben neuronale Stammzellen, wie ein Team um Tackenberg und Postdoktorandin Rebecca Weber in Kollaboration mit der Gruppe von Ruslan Rust von der University of Southern California jetzt in zwei Studien eindrücklich belegt. «Unsere Resultate zeigen, dass neuronale Stammzellen nicht nur neue Nervenzellen ausbilden, sondern auch weitere Regenerationsprozesse in Gang setzen», so Tackenberg.

Neue Nervenzellen aus Stammzellen

Für die Studie kamen menschliche neuronale Stammzellen zum Einsatz, aus denen sich unterschiedliche Zelltypen des Nervensystems bilden können. Die Stammzellen wurden aus sogenannten induzierten pluripotenten Stammzellen gewonnen, die sich wiederum aus normalen menschlichen Körperzellen herstellen lassen. Für die Untersuchung lösten die Forschenden einen permanenten Schlaganfall in Mäusen aus, dessen Merkmale einem Hirninfarkt beim Menschen stark ähneln. Die Tiere waren genetisch so modifiziert, dass die menschlichen Stammzellen nicht abgestossen wurden.

Eine Woche nach dem Schlaganfall transplantierte das Team neuronale Stammzellen in die betroffenen Hirnregionen und beobachtete die Entwicklung mit einer Vielzahl an bildgebenden und biochemischen Methoden. «Es zeigte sich, dass die Stammzellen den gesamten Analysezeitraum von fünf Wochen überlebten und sich grösstenteils zu Nervenzellen umbildeten − die sogar mit den bereits vorhandenen Hirnzellen kommunizierten», sagt Tackenberg.

Gehirn regeneriert sich

Zudem fanden die Forschenden weitere Kennzeichen von Regeneration: die Neubildung von Blutgefässen, die Reduktion von Entzündungsprozessen sowie eine verbesserte Integrität der Blut-Hirn-Schranke. «Unsere Analyse geht damit deutlich über den Umfang anderer Arbeiten hinaus, die sich auf die unmittelbaren Effekte direkt nach einer Transplantation konzentrierten», so Tackenberg. Erfreulicherweise machte die Stammzelltransplantation bei den Mäusen auch die motorischen Einschränkungen rückgängig, die der Schlaganfall verursacht hatte. Der Nachweis erfolgte unter anderem mit einer KI-gestützten Ganganalyse.

Klinische Anwendung rückt näher

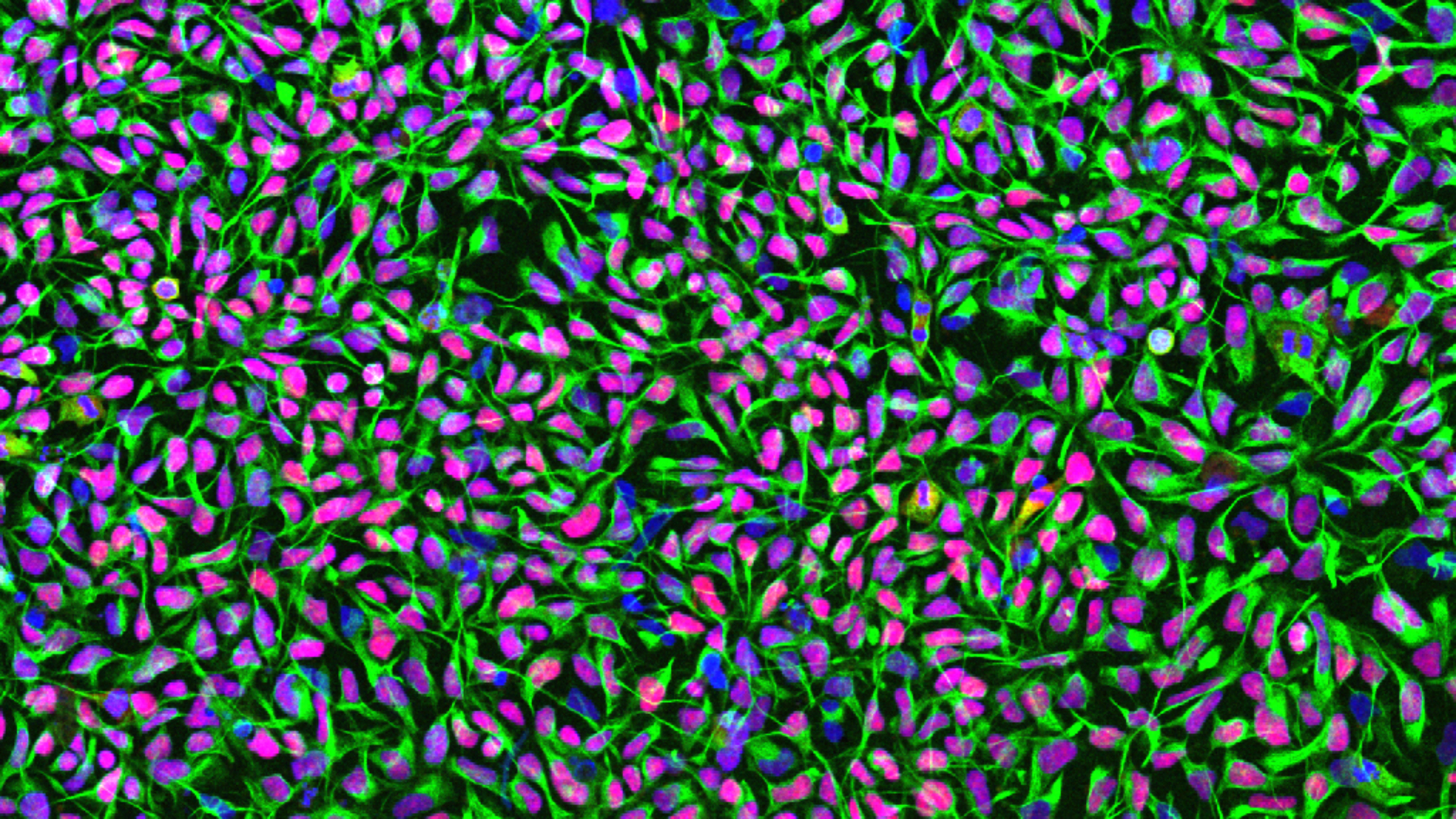
Humane neuronale Stammzellen
Humane neuronale Stammzellen in Zellkultur: Die Zellkerne sind blau, das neuronale Stammzell-spezifische Filamentprotein Nestin grün und der Transkriptionsfaktor Sox1 rot dargestellt. (Bild: UZH)

Beim Studiendesign hatte Tackenberg die klinische Anwendung beim Menschen schon im Blick. So wurden die Stammzellen beispielsweise ohne Reagenzien hergestellt, die von Tieren stammen. Ein definiertes Protokoll dafür hat das Zürcher Forschungsteam in Zusammenarbeit mit dem Center for iPS Cell Research and Application (CiRA) der Universität Kyoto entwickelt. Dies ist wichtig für eine potenzielle Anwendung der Therapie am Menschen. Eine ebenfalls neue Erkenntnis: Die Stammzelltransplantation funktioniert besser, wenn sie nicht direkt nach dem Schlaganfall, sondern erst eine Woche später durchgeführt wird, wie die zweite Studie nachwies. In der Klinik könnte dieses Zeitfenster die Vorbereitung und Durchführung einer Therapie massgeblich erleichtern.

Trotz der positiven Resultate gäbe es aber noch einiges zu tun, warnt Tackenberg. «Wir müssen die Risiken minimieren und eine potenzielle Anwendung im Menschen vereinfachen.» Ebenfalls in Zusammenarbeit mit Ruslan Rust arbeitet seine Gruppe derzeit an einer Art Sicherheitssystem, das ein unkontrolliertes Wachstum von Stammzellen im Hirn verhindert. In Entwicklung ist auch die Verabreichung der Stammzellen durch Injektion ins Blut, was viel praktikabler wäre als eine Hirn-Implantation. In Japan gibt es bereits erste klinische Studien, die Parkinson-Krankheit beim Menschen mit induzierten Stammzellen zu therapieren, wie Tackenberg berichtet. «Der Schlaganfall könnte eine der nächsten Krankheiten sein, für die eine solche Studie möglich wird.»

Literatur
Rebecca Z. Weber et al.: Neural xenografts contribute to long-term recovery in stroke via molecular graft-host crosstalk. Nature Communications. 16 September 2025. DOI: 10.1038/s41467-025-63725-3

Rebecca Z. Weber et al.: Delayed transplantation of neural stem cells improves initial graft survival following stroke. Advanced Science. 24 May 2025. DOI: 10.1001/advs.202504154

Weiterführende Informationen

Unterstützung

Die Studien wurden unterstützt von der Mäxi Stiftung im Rahmen des «AGITA» Projekts, dem Schweizerischen 3R-Kompetenzzentrum (3RCC) sowie von Melanie Generali und ihrem Team der iPSCore Facility am Institut für Regenerative Medizin der UZH.

Bild-Download

  • Hirnschnitt

    (JPG, 204 KB)

    Das Bild zeigt einen koronalen Schnitt durch das Gehirn einer Maus nach einem Schlaganfall und der Transplantation neuronaler Stammzellen. Die gestrichelte Linie markiert den Bereich des Schlaganfalls. Die Axone der transplantierten Zellen sind dunkelbraun gefärbt. Sie erstrecken sich lokal in den Kortex (CX), aber auch über den Balken (Corpus callosum, CC) in die gegenüberliegende Gehirnhälfte. (Bild: UZH)

  • Humane neuronale Stammzellen in Zellkultur

    (JPG, 2.72 MB)

    Das Bild zeigt humane neuronale Stammzellen in Zellkultur. Humane neuronale Stammzellen in Zellkultur. (Bild: UZH)